前幾天帶表弟去醫院看咳嗽,看到這樣一幕。一位媽媽背著孩子焦急地往診室里擠,一邊擠一...
11月20日是世界兒童日。這是一個由聯合國發起成立的紀念日,其目的是為促進兒童保護、福...
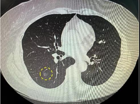
當代年輕人在思想上 都 很 行但是行動上卻有無數的B U G 比如年紀輕輕也沒干啥體力活兒...
小時候覺得考一百分是最驕傲的事情,成年后才知道,原來拿到一份不亮紅燈的體檢報告才是...
前些天,朋友回奶奶家看老人,發現奶奶的桌上堆滿了大大小小的體檢報告單,奶奶說是村里...