好多家長都以為
牙齒矯正是換牙之后才要考慮的事情
其實這是誤區
并很有可能會耽誤孩子
錯過最佳的矯治時機

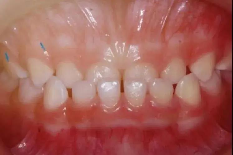
例如孩子在咀嚼的時候
上門牙咬在下門牙的后方
(俗稱“地包天”)
如果不做早期矯治
會直接影響孩子面型及頜骨發育
二大方法判斷早期矯治
1. 特別關注孩子乳牙
如果乳牙因為外傷或其他原因過早脫落,新的恒牙沒有長出來,這時,周圍牙齒可能會發生移位,占據該恒牙萌出的空間,進而導致換牙后牙齒擁擠。
所以,當乳牙過早脫落時,可以使用間隙保持器,以防止周圍牙齒移位,留出空間,讓恒牙正確萌出。
2. 關注孩子是否有不良習慣
如口呼吸、吮手指、吃安撫奶嘴、咬物、吐舌、不良吞咽習慣等等。
這些不良習慣容易導致:門牙錯位、上下頜骨位置變化,從而導致錯頜畸形。如果發現孩子有類似牙齒問題,越早治療效果越好!
最重要的還是要幫助孩子戒除這些不良習慣。可以通過分散孩子的注意力、睡覺時戴上護指套、經常獎勵孩子等方法。

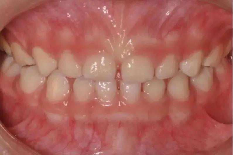
如發現孩子上下頜骨位置不佳
比如有明顯“齙牙”,應盡早矯治
錯合畸形不僅影響孩子的口腔健康
還會影響面容,
進而影響孩子的心理健康。


早期矯治可以充分利用兒童的頜骨發育潛能
調整頜骨的生長平衡及牙弓發育
因此齙牙還是要盡早診治哦


1.多讓孩子吃耐嚼、耐啃的食物。
現在的飲食越來越精細,很多食物不需要用力咀嚼就能咽下去,孩子的頜骨得不到充分鍛煉,頜骨的發育不夠寬大,使牙齒沒有足夠的生長空間,導致牙齒不齊。所以,家長平時給孩子準備的食物不必太精細,可以稍微粗糙一些,讓孩子多咀嚼,比如多吃玉米,多啃水果。
2.注意日常口腔清潔,定期帶孩子去醫院做口腔檢查。
從半歲左右萌出第一顆小乳牙的時候,就定期帶孩子去醫院做口腔檢查,接受醫生專業的口腔指導,確保孩子的牙齒健康。同時,日常生活中注意孩子的口腔清潔衛生。
3.注意乳牙的保護,乳牙出現問題及時治療。
完整健康的乳牙列,能讓孩子充分咀嚼,獲得生長所需的營養;同時也有利于恒牙的萌出發育。乳牙如果嚴重齲病,會導致恒牙的發育異常、萌出異常等。乳牙如果發生齲病,需要及時治療。
家長朋友們
如果注意到孩子口腔出現問題
一定要盡早帶孩子就診
不要錯過最佳治療時間哦!
