除了眾所周知的乳牙、恒牙
我們可能還會有“第三副牙齒”

“第三副牙齒”——人工種植牙
1、接近天然牙外觀,美觀舒適
種植牙最接近天然牙的外觀,體積較小。口腔內沒有異物感,舒適感優于其他傳統假牙,對發音影響小,也便于口腔清潔維護。
2、咀嚼效率大幅提高
種植牙穩固牢靠,像真牙一樣在口腔里扎根,可以承受正常的咀嚼力量,可以像真牙一樣吃東西。
3、無需磨損正常牙齒
種植牙直接將種植牙體植入,不會對鄰牙造成損傷。
4、適應范圍廣
種植牙通過植入的方式使患者獲得了穩固的義齒修復,對于某些用傳統假牙修復困難或效果不佳的患者更具優越性,還有恢復面部外形的良好效果。
即刻種植是指患者在拔除患牙后立即植入種植體的方法,即刻種植比較方便快捷,能縮短療程和降低牙槽骨的吸收。
延期種植是在拔牙后一段時間,一般是三個月以后牙槽骨的傷口愈合以后再植入種植體的一種修復方式。
1、身體檢查
做必要的全身和口腔檢查,拍X線或CT檢查,包括牙槽骨狀況檢查(X射線檢查)、身體骨密度測量、血壓、血糖等常規檢查。
2、量身設計
根據身體檢查及牙齒情況,設計種植牙策略后開始準備人工種植牙。
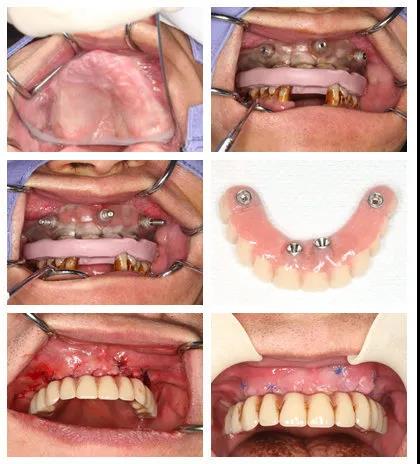
3、植入種植牙種植體
在專門的無菌室,在局麻下,在缺牙部位的牙床上作個小切口,用種植機在牙槽骨制備孔洞,將人工材料制作的種植體植入上頜或下頜缺牙部位的牙槽骨內。
4、安裝種植牙基臺
在植入種植體相對應的牙齦上旋切一個小口,暴露種植體上端后,安裝牙齦基樁,即將植入頜骨的種植體穿出牙齦。
5、安裝種植牙烤瓷牙冠
基臺安裝后7-10天,即可修復取模,制作種植橋架及假牙。再過10天左右完成,試戴成功后即可佩戴種植假牙。